细胞增殖,看这一篇就够了!
细胞的增殖是生物体生长、发育、繁殖以及遗传的基础。真核细胞增殖的主要特征为遗传物质的复制和细胞的代谢增强。监测细胞群的生长速率对细胞的状态研究很有必要。小伙伴们经常需要检测细胞增殖情况,比如要验证一种抗肿瘤药物的药效,检测知道细胞存活情况?或者修饰某个与细胞生长有关的基因以后,细胞是挂了还是增加了?不必问师兄师姐了,小编给您呈上史上最全的细胞增殖的检测方法。
1.通过观察细胞数量变化的方法
常见方法代表:直接计数法
这是一种非常简单的检测方法,我们可以利用计数板或技术仪得出细胞数目然后对数目进行比较即可。
原理:细胞计数法是测定细胞绝对增长数值常用最简便的方法。一般过程为接种21孔/24孔板细胞(如用培养瓶时则21瓶)。分7组,每组3孔(或瓶),培养一周,期间逐日检测一组,计数。把7天中的细胞数值绘成图,即为细胞生长曲线。
优点:简单,省钱!不需要特定的试剂和仪器,准确;
缺点:不费科研经费,但有点费研究生。样本量大的时候数到眼瞎;且不适合评估特定的亚群。

2.根据DNA的合成检测细胞的增殖/毒性
常见方法代表:Brdu/EdU检测法、3H-TdR掺入法
Brdu检测法:5-溴脱氧尿嘧啶核苷(Brdu)代替胸腺嘧啶合成DNA,由于Brdu上携带了专一性抗体可通过免疫荧光、流式细胞术检测出来,由此即可得出合成DNA的量。
EdU检测法:EdU(5-Ethynyl-2’- deoxyuridine)是一种胸腺嘧啶核苷类似物,也可以代替胸腺嘧啶合成DNA,即EdU能够在细胞增殖时期代替胸腺嘧啶(T)渗入正在复制的DNA分子中,通过基于EdU与Apollo荧光染料的特异性反应快速检测细胞DNA复制活性,适用于细胞增殖、细胞分化、生长与发育、DNA修复、病毒复制、细胞标记示踪等方面的研究,尤其适合进行siRNA、miRNA、小分子化合物及其他药物的筛选实验。

3H-TdR掺入法:胸腺嘧啶核苷(TdR)是DNA特有的碱基,也是DNA合成的必需物质。用同位素3H标记TdR即3H-TdR作为DNA合成的前体能掺入DNA合成代谢过程,那之后的每一条新合成的DNA双链,都能被液体闪烁计数器检测到,通过测定细胞的放射性强度,可以反映细胞DNA的代谢及细胞增殖情况。
优点:3H-TdR掺入法敏感性高,客观性强,重复性好。
缺点:需一定设备条件:液体闪烁计数器,这玩意不便宜,同时还存在放射性核素污染问题。
3.四唑盐进行代谢活性检测
常见方法代表:MTT检测法、CCK-8检测法
在MTT检测中,细胞是死是活主要看线粒体内的脱氢酶有没活性,那怎么知道他有没活性?这时蓝姑娘就牺牲自己,为脱氢酶验明正身。如果线粒体内的脱氢酶有活性,他就能将黄色的蓝姑娘(MTT)分解成兰紫色的水不溶性的甲瓒,并沉积在细胞中,死细胞无此功能。然后二甲基亚砜(DMSO)能溶解细胞中的甲瓒,用酶联免疫检测仪在490nm波长处测定其光吸收值,可间接反映活细胞数量。在一定细胞数范围内,MTT结晶形成的量与细胞数和细胞活力成正比。

CCK-8就是MTT的升级版,CCK-8细胞活性检测试剂中含有WST-8——一种类似于MTT的化合物,在电子耦合试剂存在的情况下,可以为线粒体内的脱氢酶验明正身,在脱氢酶作用下,还原生成橙黄色的甲瓒产物。细胞增殖越多越快,则颜色越深;细胞毒性越大,则颜色越浅。对于同样的细胞,颜色的深浅和细胞数目呈线性关系。用酶联免疫检测仪在450nm波长处测定其光吸收值,可间接反映活细胞数量。

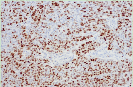
4.通过检测增殖蛋白活跃度
常见方法代表:Ki-67染色
研究人员可以评估处于细胞周期所有活跃期的总增殖细胞的百分比。科研人员可以借此观察药物或未知化合物的刺激效应或抗增殖效应。可用免疫组织化学技术或流式细胞术检测。

5.CFSE检测法
羟基荧光素二醋酸盐琥珀酰亚胺脂(CFSE)是一种可穿透细胞膜的荧光染料,可以不可逆地与细胞内的氨基结合偶联到细胞蛋白质上,是一种良好的细胞标记物。
其检测法原理:CFSE进入细胞后,可以不可逆地与细胞内的氨基结合偶联到细胞蛋白质上。当细胞分裂时,CFSE标记荧光可平均分配至两个子代细胞中,因此其荧光强度是亲代细胞的。在一个增殖的细胞群中,各连续代细胞的荧光强度呈对递减,利用流式细胞仪在488nm激发光和荧光检测通道可对其进行分析。

细胞增殖检测的方法令人眼花缭乱,需根据实验的实际情况和科研需求进行选择最合适的方法。
相关产品推荐
| 产品名称 | 货号 | 规格 |
| SuperKine™ 超敏型细胞增殖检测试剂(CCK-8) | BMU106-CN | 200 T/1000 T/10000 T |
| 细胞增殖成像分析试剂盒(EdU法)(绿色荧光) | KTA2030 | 100 T/500 T |
| 乳酸脱氢酶细胞毒性检测试剂盒 | KTA1030 | 96 T/480 T |
| 细胞增殖成像分析试剂盒(EdU法)(橘红色荧光) | KTA2031 | 100 T/500 T |
赋能细胞研究与治疗 Enabling cell research and therapy
亚科因生物技术有限公司(Abbkine Biotechnology Co., Ltd)成立于2017年,总部位于中国武汉。公司致力于细胞科研检测及细胞治疗领域关键试剂的研发、生产和销售,成为全球细胞制药领域创新的关键推动者。公司主营业务包括细胞培养、扩增及储存试剂,细胞代谢、检测及分选试剂盒,细胞治疗用原料及细胞因子等产品及定制化服务。围绕生物试剂研发,亚科因生物已建立了稳定完善的两大关键技术平台:生化试剂配方和重组蛋白表达进化平台,为细胞科研检测及细胞治疗核心试剂的高通量、高效率研发生产提供保障。

