柱式法蛋白提取专题| Abbkine ExKine™ Pro柱式法蛋白提取系列
一、常规RIPA裂解液蛋白提取弊端:
常规RIPA裂解液提取蛋白极易产生不可溶性组分,导致蛋白质的随机丢失,获得的蛋白不完整,且提取的蛋白活性受影响,蛋白纯度不够高等,从而限制获得的蛋白样本对下游实验的适用性。

图1. Abbkine蛋白提取试剂盒(柱式法)

图2.Abbkine蛋白提取试剂盒(柱式法)裂解液与常规RIPA裂解液溶解性对比。
(样本为293细胞)
与常规各种强度的RIPA裂解液相比,Abbkine蛋白提取试剂盒(柱式法)中的裂解液表现为更高的蛋白溶解性,无可溶性组分产生,可解决溶液法提取总蛋白丢失问题。
二、Abbkine蛋白提取试剂盒(柱式法)
1.ExKine™ Pro 动物细胞/组织总蛋白提取试剂盒(柱式法)
- 操作简单、快速:1-7 min之内即可完成;
- 蛋白得率高:无蛋白丢失,50mg动物组织,蛋白得率可高达3-20 mg/mL;
- 裂解条件温和:无需超声破碎,煮沸,反复冻融等苛刻条件;
- 溶解性高:脂溶性及水溶性蛋白均可提取,溶解性高于RIPA;
- 选择多样:提供两种(天然/变性)裂解液,满足提取变性和非变性蛋白多种需求;
- 兼容性好:兼容更多下游实验,所得蛋白适用于SDS-PAGE、WB、IP、ELISA、酶活检测等实验。
- ExKine™ Pro植物组织总蛋白提取试剂盒(柱式法)
- 方便快捷:一“柱”到底,全程8分钟;
- 多种用途:适用样本齐全-植物组织叶片、种子、软茎、根;
- 蛋白得率高:从50-200 mg植物组织提总蛋白,得率可达2-8 mg/mL;
- 操作简单安全:无需液氮研磨,优化的裂解缓冲液更加高效提蛋白;
- 兼容性好:所得蛋白可用于SDS-PAGE、WB、IP、ELISA、酶活检测等下游实验。

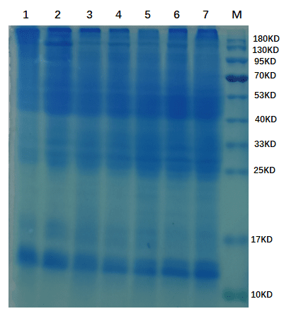
图3. Abbkine ExKine™ Pro 动物细胞/组织总蛋白提取试剂盒(柱式法)与其它品牌同款柱式蛋白提取试剂盒获得动物蛋白SDS-PAGA图(使用Abbkine KTP3007)。
注:1-RIPA;2- Abbkine变性裂解;3-A公司变性裂解;4- B公司变性裂解;5-C公司变性裂解;6- Abbkine非变性裂解;7- C公司非变性裂解;M-Marker。样本为小鼠肝脏,上样量4uL。
与其它品牌的同款柱式蛋白提取试剂盒相比Abbkine蛋白提取试剂盒拥有更广泛的总蛋白表达谱。

图4.使用不同品牌柱式蛋白提取试剂盒50mg小鼠肝脏组织添加500 ul裂解液获得的总蛋白含量。
Abbkine ExKine™ Pro 动物细胞/组织总蛋白提取试剂盒(柱式法)提取蛋白结果中,采用变性裂解的方式提取获得蛋白浓度高达20.06 mg/mL,非变性裂解的方式提取获得的蛋白浓度为20.99 mg/mL,在众多产品中,名列前茅。
为了验证Abbkine总蛋白提取试剂盒提取总蛋白中膜蛋白和核蛋白的完整度,分别以Histone H3抗体和ATP酶孵育小鼠肝脏细胞和293细胞中的蛋白,并将之与D公司的试剂盒提取的蛋白进行比较,结果如图:

图5. 不同公司柱式法动物蛋白提取产品提取的蛋白中膜蛋白、核蛋白完整度验证。
注:1-加入D公司试剂盒所提取的5 μL蛋白提取物;2-加入D公司试剂盒所提取的2.5 μL蛋白提取物;3-加入Abbkine试剂盒所提取的5 μL蛋白提取物;4-加入Abbkine试剂盒所提取的2.5 μL蛋白提取物。
结果表明Abbkine柱式法蛋白提取试剂盒在细胞和组织样本中均可获得背景清晰的蛋白条带。提取的核蛋白信号较强,同时提取膜蛋白效果显著优于其它品牌,解决了总蛋白提取过程中膜蛋白极易丢失的问题。

图6. 从不同植物(拟南芥、大豆)中提取总蛋白进行验证。
注:左边泳道为拟南芥,右边泳道为大豆。
结果表明在不同植物样本中,ExKine™ Pro植物组织总蛋白提取试剂盒(柱式法)均可取的较好效果。
Abbkine ExKine™ Pro柱式蛋白提取系列,让您的蛋白定性定量实验更准确,磷酸化检测更容易,难富集的膜蛋白轻松获取。另外为您带来7分钟超快速的蛋白提取操作体验,为您的蛋白实验保驾护航!
产品推荐:
| 货号 | 名称 | 规格 | 价格 |
| KTP3007 | ExKine™ Pro动物细胞/组织总蛋白提取试剂盒(柱式法) | 5T/50T | ¥198/448 |
| KTP3008 | ExKine™ Pro植物组织总蛋白提取试剂盒(柱式法) | 5T/50T | ¥258/869 |
小彩蛋:Abbkine总蛋白提取试剂盒(柱式法)操作视频参见Abbkine微信视频号。
想要了解更多实验干货,敬请关注Abbkine 微信公众号及视频号!

我们将持续更新更多技术前沿资讯,敬请期待!
Abbkine的技术专家为了给广大读者提供学习生物知识的平台,经过不懈努力,将多种高端生物实验的干货整理出来,后期陆续在微信公众号中刊登,请广大热爱科学的读者持续关注Abbkine公众号。
赋能细胞研究与治疗 Enabling cell research and therapy
亚科因生物技术有限公司(Abbkine Biotechnology Co., Ltd)成立于2017年,总部位于中国武汉。公司致力于细胞科研检测及细胞治疗领域关键试剂的研发、生产和销售,成为全球细胞制药领域创新的关键推动者。公司主营业务包括细胞培养、扩增及储存试剂,细胞代谢、检测及分选试剂盒,细胞治疗用原料及细胞因子等产品及定制化服务。围绕生物试剂研发,亚科因生物已建立了稳定完善的两大关键技术平台:生化试剂配方和重组蛋白表达进化平台,为细胞科研检测及细胞治疗核心试剂的高通量、高效率研发生产提供保障。

